お気軽にお問い合わせください。 TEL 受付時間 月 火 木 診察 半月板断裂したのが去年の11月。もうすぐ8カ月が経過。 秋、冬、春、夏と季節だけが過ぎていく・・・。 最近の韓国の論文で半月板水平断裂の場合、切除しても保存療法(リハビリのみ)でも 術後の痛みが変わらないと発表があったそうだ。半月板損傷には2つパターンがあります 若年者が運動による大きな外力で生じる損傷 中高年者が小さな外力で生じる損傷 (年齢に伴って半月板はもろくなっています。損傷に気づ かない事も多い) ・損傷された半月板は自然に治ることはありませ
膝关节半月板损伤的mri诊断 骨今中外 微信公众号文章阅读 Wemp
半月板水平断裂 自然治癒
半月板水平断裂 自然治癒- 半月板断裂とは? 半月板損傷ではなくさらに重症の怪我で半月板が断裂することもあります。 半月板が欠ける、もしくは部分損傷ではなく完全に断裂してしまうほどの怪我です。 この場合は多くは半月板の縫合手術、もしくは摘出手術の対象となります。 中節から後節にかけての水平断裂が認められ、 脛骨側がl字状に断裂していた。断端の変性が 強く縫合困難と判断して、部分切除術を行っ た。術後に疼痛は軽快した。 半月板縫合術後の遺残疼痛例の、nrsは治療 前は平均45、治療後は平均08であった。疼痛 遺残例6例中5例でnrsは半分以下



膝关节半月板损伤怎么办 骨科医生教你2个锻炼动作 有助康复 39健康网 保健
半月板とは? 半月板は、膝の関節を体重や衝撃から守り、安定させる役割をしています。 損傷の程度やタイプによって対処法が変わってきます。 分類 ・縦断裂 ・横断裂 ・水平断裂 ・フラップ状断裂 ・バケツ柄状断裂右:外側半月板水平断裂 左:縦断裂(バケツ柄状断裂) 右:切れた根本部分 半月板縫合術 半月板の周辺1025%には血行があるので治癒する可能性があることから、半月板辺縁断裂に対しては半月板縫合術が行われます。2-4週間のギプス固定が必要になります。本法の適応は若年者で比較的 半月板水平断裂にprpfdは効果的ですか? top ひざ関節痛q&a 半月板水平断裂にprpfdは効果的ですか? 1年程前に左膝内側半月板水平断裂と診断されました。 症状は波があり、基本的に正座は出来ず、疲れてくると階段をのぼる際に鋭い痛みが出たり、歩く際に膝の前方まで痛みが出ます
外側半月板に比べて内側半月板の損傷が多く、「水平断裂」や、「内側半月板後角」の損傷が多い。 半月板の変性損傷における 危険因子 として、 60歳以上、BMI高値、性別(男性に多い)、跪く仕事、しゃがみ込み動作、1日30段以上の階段昇降 などが報告されている。 半月板は前十字靭帯の断裂や損傷と合併しやすいです。前十字靭帯は つま先が外を向いたまま膝が内側に入ると一番ストレスがかかります。 ニーイントゥーアウトというやつですね。内側の半月板はこの動きでも痛みが出ます。 バスケやテニスなどでの急な切り替えし、スキーのターンShare your videos with friends, family, and the world
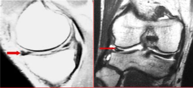
水平断裂損傷 半月板の一部が上下2枚にわかれたように、 水平方向に裂けた状態 です。比較的高齢者に見られる損傷形態です。 半月板損傷は、内側の半月板と比べて外側の半月板の方が発生しやすいと言われています。 「あ、膝が痛い!」半月板損傷の外側半月板に水平断裂を示唆する半月板内の信号 変化を認める 図3 初診時mri画像(stir) 外側半月板のバケツ柄断裂のロッキングに加え、 大腿骨外顆後方に広範なbmlを認めた 図5 術後3か月時mri画像(stir) 図4 a.外側半月板が顆間に嵌頓している stirで大腿骨内顆の信号変化は残存していた b 内側半月板後節水平断裂の縫合 内側半月板後節水平断裂で痛みが強かったため、4針縫合しました。水平断裂が広がるとかなり痛いようです。 膝関節鏡視下手術 膝関節鏡視下手術の併用;



一文看懂半月板撕裂 就是膝盖软骨



半月板 360百科
その中のひとつが半月板の断裂形態です。 関節のmriを紐解くと、半月損傷は下記のごとく分類されます。 水平断裂 縦断裂 ① 水平断裂 ①の水平断裂は下図のような断裂形態で、内側半月の後節に好発します。変形性膝関節症に伴う例が多く、外傷性では>解説 : 半月板断裂は水平断裂と垂直断裂に大別されるが。広範囲に縦断裂が生じ、その一方がバケツの柄のように翻転したものをバケツ柄断裂と呼ぶ。矢状断像では この内方に偏位したバケツの柄部分が後十字靭帯( PCL )と併走し、 double PCL sign を示す。本例では大腿骨外顆と脛骨外顆



半月板损伤了 选择修复还是切除 知乎



半月板损伤的mr影像 影像ppt



1



半月板損傷 膝のスポーツ外傷 やさしい医療講座 一般の方 ジョンソン エンド ジョンソン株式会社メディカルカンパニー ジョンソン エンド ジョンソン



半月板損傷 福岡県糟屋郡志免町の痛みとり専門の鍼灸院 たなべ治療院



骨科大夫 半月板损伤 究竟哪些可以保守治疗 哪些要做手术 老资料网



膝关节半月板损伤怎么办 膝关节损伤 膝关节损伤治疗方法



半月板损伤的mr影像 影像ppt



半月板水平断裂縫合 部分切除 手術 手術後2 6日目 19 7 14 18 Futa Maxのblog



大夫 我的膝关节活动时为什么有响声 健康号 微医



1



半月 板 損傷 日本整形外科学会 症状 病気をしらべる



膝半月板損傷の診断と治療 整形外科 受診案内 聖路加国際病院



半月板损伤手术 万图壁纸网



半月板 一文轻松看懂半月板的解剖与临床



膝半月板損傷の診断と治療 整形外科 受診案内 聖路加国際病院



半月板磨损腿疼怎么办 吃什么药比较好 手机网易网



Menisc



滑膜炎半月板损伤 怎么治疗 这样做 不出2周 赶走



1



半月板损伤 半月板撕裂应该怎么治疗 半月板撕裂怎么治疗比较好 老资料网



半月板水平断裂ってどんな状態 神奈川 横浜市の治療院 足の痛みの治療院



内側半月板 Mm と外側半月板 Lm 断裂のmri画像診断総論



半月板损伤 别担心 这样治疗管用 简书



交叉韧带



下肢力线调整疗法矫治膝关节疼痛的基础知识 4 半月板损伤 骨伤康复孙民焱医生 新浪博客



喜欢运动的你 该如何保护好半月板 健康号 微医



半月板水平断裂の手術費用を稼いで東京に戻る為のch おすすめch紹介 意味とは何



半月板撕裂能自愈吗 关节肽能否促进半月板自愈 进行



半月板撕裂是怎么回事 凤凰网健康 凤凰网



悟空问答 膝盖半月板撕裂 还能恢复吗 多久才能恢复 21个回答



スキーのメモ 膝 半月板水平断裂というらしい



膝半月板損傷の診断と治療 整形外科 受診案内 聖路加国際病院



内側半月板水平 変性 断裂の治療 膝関節鏡外科医のblog



半月板損傷 長野整形外科クリニック



半月板損傷 断裂 はんげつばんそんしょう 済生会



层层深入图文详解半月板mri解剖诊断 必备收藏贴 腾讯新闻



半月板損傷 整形外科学ブログ 品川区の整体 産後の骨盤矯正と痛くない小顔矯正が口コミで人気のなかのぶ整体院



膝关节半月板损伤的mri诊断 骨今中外 微信公众号文章阅读 Wemp



半月板损伤 别担心 这样治疗管用 简书



层层深入图文详解半月板mri解剖诊断 必备收藏贴 腾讯新闻



悟空问答 膝盖半月板撕裂 还能恢复吗 多久才能恢复 21个回答



半月板断裂 症状 诊断和治疗 Bmj Best Practice



刘玉杰 不同半月板损伤损伤类型的处理 365医学网



半月板损伤的诊断 修复技术和临床治疗 医栈文章



膝关节各种损伤的mri表现大集合



半月板撕裂 醫學影像學習園地



半月板 360百科



半月板損傷 Sports Medicine Library ザムスト Zamst



半月板断裂 症状 诊断和治疗 Bmj Best Practice



半月 板 損傷 日本整形外科学会 症状 病気をしらべる



膝关节半月板损伤怎么办 骨科医生教你2个锻炼动作 有助康复 39健康网 保健



原因と症状 治療法



半月板損傷 断裂に対する再生医療 幹細胞治療 関節の痛みを先端治療で切らずに改善 リペアセルクリニック東京院



立ち上がろうとして膝が急に曲がらなくなった 痛くて歩けない それは半月板による膝のロッキング ひっかかり かもしれません すみだ整骨院 直方 飯塚 田川 八幡で整骨院なら



半月板损伤康复 半月板之 殇 知乎



半月板解剖及损伤的详细图解



院内勉強会 半月板損傷



半月板损伤是怎么一回事



半月板損傷 ねこまたのゆるゆるcyclelife



膝关节交锁是什么意思 交锁名词解释



半月板損傷很可怕嗎 雪花新闻



半月板损伤 我该拿什么拯救你 知乎



膝半月板損傷の診断と治療 整形外科 受診案内 聖路加国際病院



半月板損傷 長野整形外科クリニック



半月板損傷 整形外科学ブログ 品川区の整体 産後の骨盤矯正と痛くない小顔矯正が口コミで人気のなかのぶ整体院



ランニング中のケガ 膝 半月板損傷編 サブ3へのウルトラマラソンbyランナーたかちゃん



スポーツ整形外科 関節鏡センター 松田病院



半月板損傷は手術する前にリハビリをしたほうがいい理由 Rehatora Net



半月板伤了 一定要做手术吗 半月板损伤该如何治疗 健康资讯 娱乐新闻网



Jmt日本干细胞案例 50岁日本男性半月板损伤的干细胞治疗 进行



半月板損傷 断裂に対する再生医療 幹細胞治療 関節の痛みを先端治療で切らずに改善 リペアセルクリニック東京院



半月板损伤的mr影像 影像ppt



スポーツ整形外科 関節鏡センター 松田病院



半月板水平断裂縫合 部分切除 手術 抜糸 19 7 24 Futa Maxのblog



半月板損傷 断裂に対する再生医療 幹細胞治療 関節の痛みを先端治療で切らずに改善 リペアセルクリニック東京院



运动不当 膝盖疼到无法打球 小心半月板撕裂 这套自我检查方法您可以了解一下 健康号 微医



半月板損傷 膝の痛みと治療 三条整形外科スポーツクリニック



膝半月板損傷の診断と治療 整形外科 受診案内 聖路加国際病院



半月板水平断裂ってどんな状態 神奈川 横浜市の治療院 足の痛みの治療院



有的人膝盖还活着 但半月板快完了 中国医疗



有的人膝盖还活着 但半月板快完了 中国医疗



膝关节半月板损伤核磁诊断要点详解与治疗分析 知乎



半月板核磁共振图解析 万图壁纸网



半月板撕裂 搜狗百科



主な手術 膝 半月板 前十字靭帯 肩 肘 足の損傷に対する関節鏡手術なら



整形外科の病気 膝半月板損傷 病気の治療 徳洲会グループ



半月板损伤不用治 轻度可自行恢复 每日头条



半月板損傷 整形外科学ブログ 品川区の整体 産後の骨盤矯正と痛くない小顔矯正が口コミで人気のなかのぶ整体院



Jmt日本干细胞案例 60多岁男性右变形性关节症和半月板损伤的干细胞治疗 腾讯新闻



怎么判断半月板损伤后是否需要手术



下肢力线调整疗法矫治膝关节疼痛的基础知识 4 半月板损伤 骨伤康复孙民焱医生 新浪博客



半月板损伤 半月板损伤了怎么办



半月板磨损腿疼怎么办 吃什么药比较好 手机网易网



实用擒拿格斗术 擒拿格斗损伤及预防 武术世家



スポーツ外来 大阪市立大学大学院医学研究科 整形外科学



半月板损伤的小科普



半月板 外側半月板 内側半月 の機能と構造 理学療法士 作業療法士 言語聴覚士の求人 セミナー情報なら Post



半月板損傷 断裂 について その2 ゆうき鍼灸接骨院



膝關節半月軟骨損傷的診斷與治療手法 雪花新闻



半月板 你还好么 丨经常运动 要时刻警惕半月板损伤 每日头条



1


0 件のコメント:
コメントを投稿